Tổng hợp - Tag: Sán lá gan
Kỳ dị vụ phát hiện sán lá gan trong người vì đam mê món ăn quen thuộc
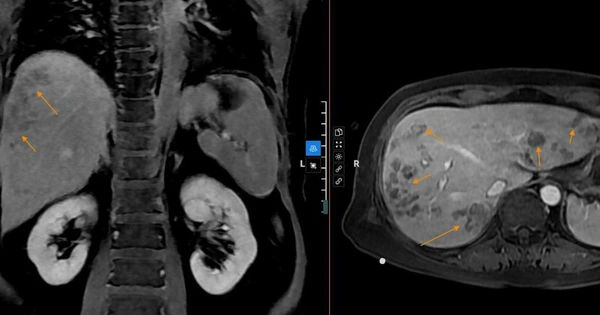
Khám phá câu chuyện kỳ dị về người đàn ông Phú Yên phát hiện cả 'ổ' sán lá gan trong cơ thể do 'nghiện' một món ăn quen thuộc với dân Việt. Đây là một bài viết sẽ đưa bạn vào thế giới đầy bất ngờ của...
Khám phá về Sán Lá Gan: Nguy cơ tiềm ẩn từ thói quen ăn uống hàng ngày
Trong bài viết này, chúng ta sẽ tìm hiểu về nguy cơ nhiễm ký sinh trùng sán lá gan do thói quen ăn uống hàng ngày, cũng như các biểu hiện và cách phòng tránh bệnh.
Những Bí Mật Ít Ai Biết Về Sán Lá Gan và Cách Phòng Tránh
Khám phá những thông tin thú vị về bệnh sán lá gan và cách phòng tránh hiệu quả.
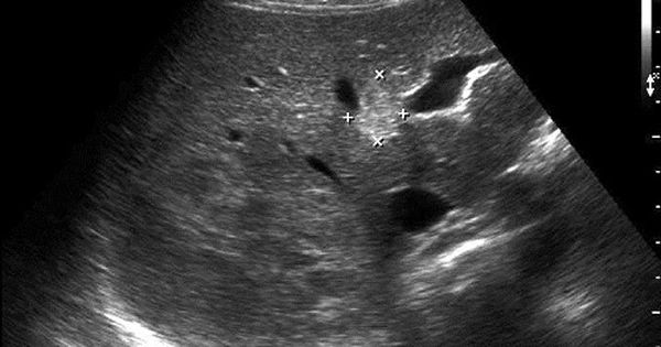
Phát hiện sốc: Sán lá gan vượt cạn tồn tại trong cơ thể người đàn ông
Đã nhập viện với triệu chứng vàng da, vàng mắt và đau bụng, người đàn ông này bị phát hiện có sán lá gan đang hoạt động trong cơ thể Đây là một trường hợp đáng lo ngại và cần được điều trị kịp thời để...
