Nguy cơ nhiễm giun sán từ thói quen ăn uống hấp dẫn
Khám phá nguy cơ nhiễm giun sán từ thói quen ăn uống hấp dẫn và cách phòng tránh hiệu quả.
Tình hình nguy cơ nhiễm giun sán
Trên bàn xét nghiệm, kết quả cho thấy nam bệnh nhân đang phải đối diện với nhiều loại giun sán, trong đó sán dây chiếm tỷ lệ lớn nhất.
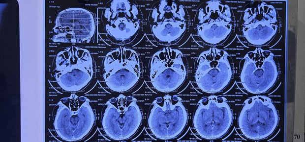
Bác sĩ nổi da gà khi nhìn ảnh X-quang của nam bệnh nhân, cảnh báo nguy cơ từ món ăn nhiều người mê - Ảnh 1.
Bác sĩ Lê Văn Thiệu, chuyên khoa Nhiễm khuẩn tổng hợp tại Bệnh viện Bệnh Nhiệt đới, vừa tiếp nhận trường hợp nam bệnh nhân đến khám với những triệu chứng đau đầu, chóng mặt, buồn nôn và đau nhức ở cơ thể. Bệnh nhân cho biết những dấu hiệu này đã xuất hiện trong khoảng 1 tuần qua.
Bác sĩ nổi da gà khi nhìn ảnh X-quang của nam bệnh nhân, cảnh báo nguy cơ từ món ăn nhiều người mê - Ảnh 2.
Nguyên nhân từ thói quen ăn uống
Khi khám phá tiền sử của bệnh nhân, bác sĩ Thiệu phát hiện bệnh nhân có thói quen ăn những món tái, sống như gỏi cá, rau sống và tiết canh. Những món ăn này thường được chế biến từ nguồn thực phẩm tự trồng hoặc nuôi.
Theo bác sĩ, việc ăn uống những món tái, sống là cách mà giun sán thâm nhập vào cơ thể. Khi ấu trùng sán được ăn phải, chúng có thể di chuyển qua máu đến các cơ quan khác nhau và gây hậu quả nghiêm trọng.
Cách phòng tránh nhiễm giun sán
Để tránh nguy cơ nhiễm giun sán, người dân cần thực hiện những biện pháp phòng tránh như giữ vệ sinh cá nhân, ăn uống đúng cách, không ăn thực phẩm chưa chín, luôn rửa tay sạch sẽ.
Bác sĩ Thiệu cũng khuyên người dân khi có bất kỳ triệu chứng nghi ngờ về nhiễm trùng giun sán cần nhanh chóng đến cơ sở y tế để kiểm tra và điều trị kịp thời.

