Khám phá Đa Ung Thư Nguyên Phát
Đa ung thư nguyên phát là hiện tượng mà một người bệnh mắc nhiều hơn một loại ung thư với nguồn gốc mô bệnh học khác nhau, không phụ thuộc vào thời gian. Theo WHO, tỷ lệ mắc đa ung thư nguyên phát trên thế giới dao động từ 2,4% đến 17,2%.
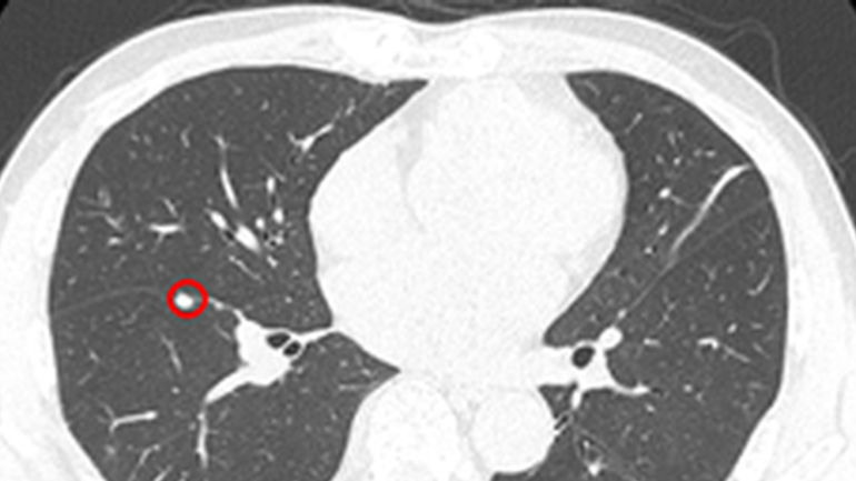
Sút 4kg trong 1 tuần, đi khám phát hiện mắc cùng lúc 2 loại ung thư - Ảnh 1.
Tiến bộ trong sàng lọc và chẩn đoán đã tăng khả năng phát hiện đa ung thư nguyên phát ở mọi giai đoạn. Có hai loại đa ung thư nguyên phát: đồng thời (synchronous) và liên tiếp (metachronous). Tiên lượng bệnh phụ thuộc vào vị trí khối u, giai đoạn bệnh, và thời gian chẩn đoán.
Sút 4kg trong 1 tuần, đi khám phát hiện mắc cùng lúc 2 loại ung thư - Ảnh 2.
Thách Thức và Tiên Lượng
Khám phát hiện ung thư phổi và ung thư đường mật cùng lúc đặt ra thách thức lớn trong điều trị. Các yếu tố như vị trí khối u, giai đoạn bệnh, và thời gian chẩn đoán đều ảnh hưởng đến tiên lượng của bệnh nhân.
Kết Luận và Triển Vọng
Đa ung thư nguyên phát là một bài toán khó của y học đương đại, đặt ra nhiều thách thức trong chẩn đoán và điều trị. Việc nâng cao khả năng phát hiện và đưa ra phác đồ điều trị hiệu quả là cần thiết để cải thiện tiên lượng cho bệnh nhân.

                            
                            






            