
Biến thói quen dễ mắc hiểm họa cho thận: Bác sĩ lên tiếng, câu khách đỏ sẽ sốc

Thận đóng vai trò quan trọng trong việc loại bỏ chất độc khỏi cơ thể Một thói quen phổ biến ở người Việt có thể gây tổn hại cho chức năng thận Bác sĩ lên tiếng cảnh báo về tình trạng này
Chị D.T.T, 36 tuổi, sống tại Hà Nội, gần đây đã trải qua một trường hợp gần như bị tổn thương thận do tự ý kê đơn thuốc. Cô đã bị sốt cao lên tới 40°C cùng với những triệu chứng đau quặn mạn sườn bên phải, tiểu buốt, tiểu rát, ăn uống kém và phân bị chảy. Với tình trạng bệnh không có dấu hiệu giảm, gia đình đã đưa chị T đi khám.
Kết quả các xét nghiệm và khám lâm sàng cho thấy chỉ số viêm của bệnh nhân tăng, hình ảnh CT phát hiện dịch tụ xung quanh thận, mô thận không đồng đều, đặc biệt ở vùng sau bể thận. Bác sĩ chẩn đoán bệnh nhân mắc viêm thận bể thận cấp tính và yêu cầu nhập viện để điều trị nội trú ngay lập tức.
TS.BS Ngô Chí Cương, nguyên bác sĩ tại Trung tâm Bệnh Nhiệt đới - Bệnh viện Bạch Mai và hiện là Trưởng khoa Nội - Bệnh viện Đa khoa Medlatec, người điều trị cho bệnh nhân T, cho biết đây là một trường hợp bệnh phức tạp và yêu cầu quá trình điều trị cẩn thận. Trước đó, bệnh nhân T đã từng mắc viêm đường tiết niệu và tự ý sử dụng nhiều loại kháng sinh để điều trị. Do không tuân thủ chỉ định của bác sĩ, nên bệnh nhân đã tái nhiễm trùng nhiều lần.
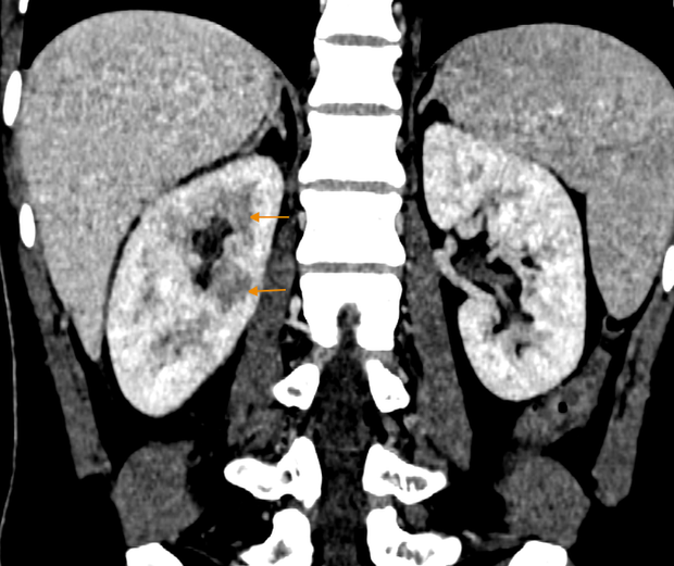
Hình ảnh CT của bệnh nhân cho thấy sự phân bố không đồng đều của nhu mô thận và hiện tượng viêm nhiễm thể thận (Ảnh: BSCC)
Để đảm bảo hiệu quả trong quá trình điều trị cho bệnh nhân, bác sĩ đã tiến hành cấy máu và cấy nước tiểu để phân lập chủng vi khuẩn gây bệnh và đánh giá mức độ nhạy cảm của kháng sinh qua kết quả xét nghiệm kháng sinh đồ.
Sau 5 ngày được theo dõi và điều trị tích cực tại viện, kết quả kiểm tra máu và nước tiểu của bệnh nhân đã âm tính. Chị T được xuất viện để tiếp tục điều trị tại nhà, tuy nhiên, cần tiếp tục tuân thủ việc dùng thuốc và sinh hoạt đúng cách theo hướng dẫn của bác sĩ.
Viêm thận cấp có thể gây ra những biến chứng nguy hiểm.
Theo bác sĩ Cương, viêm thận bể thận cấp tính là khi nhiễm khuẩn xảy ra trong hệ tiết niệu, khi vi khuẩn xâm nhập qua đường niệu đạo, lên bàng quang, đi qua niệu quản và tấn công thận. Bệnh gây viêm nhiễm xung quanh đài thận, bể thận, niệu quản và mô thận.
Bệnh thường xuất hiện triệu chứng trong 2 ngày sau khi vi khuẩn tấn công, bao gồm: sốt cao trên 38,9°C, đau ở vùng bụng, lưng, hông, bẹn, đau khi đi tiểu và nước tiểu đục, có mủ và có máu...
Bác sĩ Cương cho hay, bệnh lý nhiễm khuẩn đường tiết niệu có thể gây ra các biến chứng nguy hiểm sau đây:
- Áp cao trong thận và khu vực xung quanh: Đây là tình trạng xuất hiện một ổ mủ quanh thận, nếu không được điều trị kịp thời, có thể dẫn đến nhiễm khuẩn trong huyết quản.
- Nhiễm trùng máu: Vi khuẩn xâm nhập vào máu gây nhiễm trùng toàn thân nghiêm trọng, có thể gây sốc nhiễm khuẩn và suy tạng, đe dọa tính mạng.
- Tổn thương nhú thận: Nhú thận là nơi mà nước tiểu chảy vào ống tiểu. Khi bị tổn thương, nhú thận bong ra và trộn vào nước tiểu, gây tắc nghẽn ống tiểu hoặc đường tiểu. Kết quả là nguy cơ suy thận cấp do tắc nghẽn nhiễm mủ trong thận.
- Suy thận cấp: Đây là biến chứng nguy hiểm của viêm thận bể thận cấp, gây tăng huyết áp, phù phổi và đe dọa tính mạng.
- Viêm thận bể thận mạn, suy thận mạn: Tình trạng viêm thận bể thận cấp không phản ứng với kháng sinh và tái phát thường xuyên có thể dẫn đến viêm thận bể thận mạn, suy thận mạn. Khi đó, điều trị trở nên khó khăn và tốn kém hơn cho bệnh nhân.
Qua tình huống của bệnh nhân T, bác sĩ Cương đã cảnh báo một cách nghiêm túc tới tất cả người dân rằng khi gặp dấu hiệu viêm nhiễm đường tiết niệu, không nên dùng kháng sinh một cách tùy tiện. Điều này có thể dẫn đến việc bệnh không được chữa trị triệt để và gây ra tình trạng kháng kháng sinh, làm cho quá trình điều trị trở nên khó khăn hơn.