Bệnh nhân 27 tuổi gặp tai biến sau khi tắm trong 10 phút
Trường hợp đột quỵ não ở bệnh nhân nam 27 tuổi sau khi tắm 10 phút gây chú ý tại Bệnh viện Hữu nghị Việt Tiệp Hải Phòng Bệnh viện đã tiếp nhận và bắt đầu điều trị cho bệnh nhân này
Bệnh nhân V.V.L. (27 tuổi), sau khi tắm trong vòng 10 phút đã bắt đầu có triệu chứng thị lực giảm nhẹ, xoang tầm nhìn mắt phải và cảm giác tê bì mặt và nửa người phải.
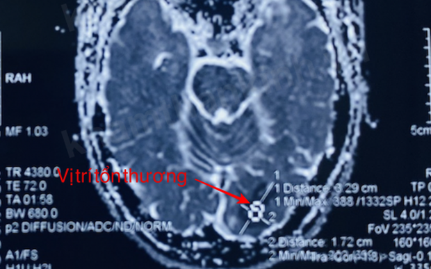
Sau đó, bệnh nhân được chuyển vào Bệnh viện Hữu nghị Việt Tiệp với tình trạng thị lực của mắt phải còn 8/10, đồng thời kết quả kiểm tra đáy mắt và mắt trái đều bình thường. Kết quả cộng hưởng từ sọ não chỉ ra hình ảnh nhồi máu não ở hạch thần kinh bên trái.
Bác sĩ đã áp dụng phương pháp điều trị thuốc tiêu sợi huyết cho bệnh nhân. Sau khi tiêm thuốc, tình trạng mắt của bệnh nhân đã cải thiện 70% sau 1 giờ và hoàn toàn phục hồi sau 3 ngày điều trị. Theo TS.BS Phùng Đức Lâm, đột quỵ là căn bệnh nguy hiểm có thể gây tử vong hoặc tàn phế, nhưng rất ít trường hợp đến bệnh viện trong "thời gian vàng" để cứu sống người bệnh. Đót quỵ xảy ra khi mạch máu trong não bị tắc nghẽn, làm mất khả năng cung cấp oxy và dưỡng chất cho các tế bào não, dẫn đến mất khả năng nói, di chuyển hoặc cảm nhận.
Khi bệnh nhân còn rất trẻ và có triệu chứng không rõ ràng, việc đến bệnh viện kịp thời đã ngăn chặn được những biến chứng nguy hiểm do đột quỵ gây ra. TS.BS Phùng Đức Lâm cũng chia sẻ rằng đột quỵ thường tăng cao khi trời lạnh và có sự thay đổi đột ngột về thời tiết. Các biến đổi này có thể tạo ra áp lực trong mạch máu, tăng huyết áp và tăng nhịp tim, cũng như tăng nguy cơ cục máu đông và đột quỵ não, đột quỵ tim.
Cây thuốc chữa đột quỵ nhưng có tác dụng phụ không hay cho sức khỏe
Nếu trước đây, đột quỵ thường xảy ra ở những người trên 60 tuổi, thì hiện nay, căn bệnh này đang có xu hướng trẻ hóa. Các yếu tố gia tăng nguy cơ đột quỵ và trẻ hóa như tăng huyết áp, tiểu đường, rối loạn cholestrol... nhưng không được kiểm soát. Hút thuốc, căng thẳng cũng là nguyên nhân gây đột quỵ.
Bác sĩ cũng khuyên, để phòng tránh đột quỵ khi trời lạnh, việc giữ ấm cơ thể, đặc biệt là vùng đầu và cổ trong mùa đông rất quan trọng; Nên ngủ trong phòng không có gió và giữ ấm cho cơ thể; Cần lưu ý rằng thay đổi nhiệt độ đột ngột có thể gây sốc nhiệt, vì thế, buổi sáng trước khi rời giường, nên vận động một ít để làm nóng cơ thể, thích ứng với thời tiết bên ngoài; Không nên tắm trễ và hạn chế tắm nước lạnh, hãy uống nước ấm và hạn chế ăn đồ lạnh.
Người bệnh cũng cần thường xuyên kiểm tra sức khỏe và nếu phát hiện huyết áp cao, tiểu đường... cần được uống thuốc theo chỉ định của bác sĩ, không nên tự ý ngưng thuốc.

