Bí quyết giữ cho răng săn chắc và nướu khỏe mạnh
Hãy khám phá bí quyết đơn giản giúp duy trì sức khỏe cho răng và nướu của bạn.
Bí quyết giữ cho răng săn chắc và nướu khỏe mạnh
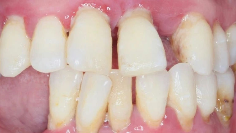
Mỗi ngày, chúng ta không ngờ rằng thói quen xỉa răng bằng tăm sau khi ăn có thể khiến các kẽ răng lung lay và mô nướu bị teo. Việc này không chỉ không hữu ích trong việc loại bỏ mảng bám trên răng mà còn có thể gây hại cho sức khỏe răng miệng của chúng ta.
Bác sĩ chuyên gia Chen Yiqian từ Hồng Kông đã chia sẻ về tác động tiêu cực của việc xỉa răng bằng tăm không đúng cách. Việc sử dụng tăm một cách chính xác là yếu tố quan trọng để duy trì sức khỏe cho răng và nướu.
Tác hại của việc xỉa răng bằng tăm không đúng cách
Bác sĩ Chen cho biết, việc sử dụng tăm không đúng cách có thể gây tổn thương hoặc viêm nướu, dẫn đến những vấn đề như răng lung lay, teo mô nướu và nới lỏng khoảng cách giữa các răng. Các chấn thương thường gặp do thói quen xỉa răng có thể được phân loại thành 3 khía cạnh đáng chú ý:
- Tác hại trực tiếp: Sử dụng tăm nhọn để nâng răng quá mạnh có thể gây tổn thương nướu và lỏng khoảng trống giữa các răng.
- Tác hại tiềm ẩn: Khi dùng tăm để làm sạch kẽ răng, cặn thức ăn có thể bị đẩy sâu vào các kẽ răng, gây viêm nướu.
- Tăm gãy, chấn thương thứ phát: Tăm dễ gãy và dùng lực quá mạnh có thể làm thủng nướu, tăng nguy cơ viêm nướu.
Bí quyết giữ cho răng và nướu khỏe mạnh
Bác sĩ Chen nhấn mạnh rằng việc loại bỏ mảng bám trên răng là quan trọng hơn việc xỉa răng bằng tăm. Để duy trì sức khỏe răng miệng, bạn cần chú trọng đến vệ sinh răng đúng cách bằng cách đánh răng bằng bàn chải lông mềm ở góc 45 độ, kỹ lưỡng trên mặt trong, mặt ngoài, mặt bên và bề mặt nhai. Ngoài ra, lựa chọn dụng cụ phù hợp như tăm chỉ nha khoa, máy tăm nước hoặc bàn chải kẽ răng tùy vào kích thước khe hở giữa các răng.
Bác sĩ cũng cảnh báo rằng việc vệ sinh miệng hàng ngày đúng cách là chìa khóa vàng để duy trì sức khỏe cho răng và nướu. Một khi nướu bị teo, việc phục hồi sức khỏe răng có thể trở nên khó khăn và đôi khi không thể khôi phục như trước. Do đó, hãy chăm sóc răng miệng một cách cẩn thận và đúng cách để tránh những vấn đề không mong muốn.
Bác sĩ cảnh báo thói quen nhiều người cứ ăn xong là làm, khiến răng càng ngày càng thưa, thậm chí làm teo nướu - Ảnh minh họa
Nếu bạn muốn giữ cho nụ cười luôn tươi tắn và sức khỏe răng miệng luôn ổn định, hãy tuân thủ những bí quyết đơn giản trên để có một hàm răng săn chắc và nướu khỏe mạnh.
